Britânico fratura o pênis verticalmente durante sexo, no primeiro caso registrado na História

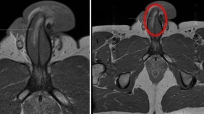
Um homem de 40 anos fraturou o seu pênis verticalmente depois que ele "dobrou" durante o sexo, disseram médicos que o atenderam. Ele sofreu uma ruptura de 3cm no lado direito do seu membro sexual e precisou ser submetido a cirurgia urgente.
Os especialistas acreditam que este é o primeiro caso registrado na História desse tipo de lesão, já que todos os casos anteriores de fratura peniana relatados foram horizontais.
Os médicos são aconselhados a operar pênis fraturado dentro de 24 horas para evitar complicações, incluindo disfunção erétil permanente ou uma vida inteira de sexo dolorido.
O homem, morador de York (Inglaterra), passou por uma cirurgia bem-sucedida e agora pode fazer sexo novamente, seis meses após a lesão.
No caso dele, o pênis "dobrou-se contra o períneo (a área entre os órgãos genitais e o ânus) de sua parceira".
Embora não haja ossos no pênis, a genitália pode parecer estar se quebrando após um traumatismo contuso. O órgão pode entortar e dobrar sob muita pressão, fazendo com que o sangue vaze. Os médicos, que compartilharam suas descobertas na revista "British Medical Journal", disseram que nenhum "som de estalo" foi ouvido, o que acontece durante fraturas horizontais.
"Esse paciente foi capaz de retomar a atividade sexual em 6 meses após a lesão, alcançando ereções da mesma qualidade das anteriores à lesão, negando qualquer curvatura peniana ou cicatriz palpável significativa", destacaram os médicos no relatório do caso inédito.
Desde 1924, 1.600 casos de fraturas de pênis foram registrados em todo o mundo — cerca de 16 ocorrências por ano.