Filhote de tubarão 'ataca' no útero da mãe durante ultrassom

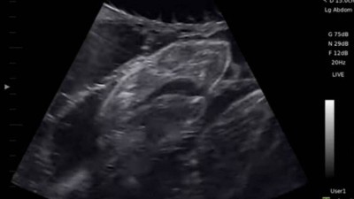
Um exame de ultrassom feito numa fêmea de tubarão-tigre mostrou que a ferocidade da espécie começa no útero. O filhote, bastante agitado, foi visto várias vezes abrindo a boca contra o equipamento que pressionava o corpo da mãe.
O "ataque" foi registrado por uma equipe liderada por James Sulikowski, professor de Biologia da Universidade do Estado do Arizona (EUA) e por Neil Hammerschlag, diretor do Programa de Conservação e Pesquisa de Tubarões da Universidade de Miami (EUA), que estuda por que a espécie está sendo comum em uma determinada região das Bahamas.
De acordo com o site "Oceana", o tubarão-tigre apresenta comportamento de predador assim que nasce. As imagens do ultrassom reforçam essa percepção. Assista abaixo:
Uma pesquisa de 2015 da Universidade Stony Brook University, de Nova York (EUA), apontou que na espécie tubarão-touro ocorre o fenômeno de canibalismo no útero materno. Os autores do estudam afirmam que o comportamento é decorrente de uma disputa entre filhos de diferentes pais. Eles disputamo o "direito de nascer". A mãe dá à luz apenas dois filhotes por gestação, mas pode ficar grávida de mais filhotes e de pais diferentes. Até 12 fetos podem começar o processo.