Idoso é operado de emergência com raro quadro de 'pneumoescroto'

Um paciente foi operado de emergência após reclamar que as suas genitais estavam "assobiando". Os médicos identificaram um quadro raro de "pneumoescroto".
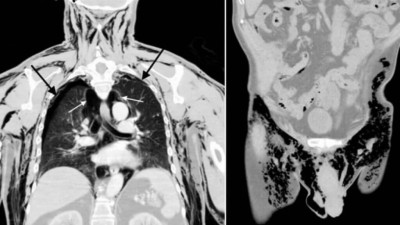
A doença incomum foi devido a um excesso de ar acumulado no corpo do paciente, de 72 anos, que estava escapando através de uma ferida aberta no saco escrotal.
Um exame descobriu que ambos os pulmões do idoso entraram em colapso e ele tinha muito ar circulando dentro do peito, o que provavelmente foi o que causou a sua queixa.
Médicos descreveram o que aconteceu na revista "American Journal of Case Reports", dizendo que acreditavam que era o primeiro caso desse tipo. Já houve relatos de raras incidências de acúmulo de ar no escroto, mas nunca envolvendo "assobios". Isso aconteceu porque o homem havia sido submetido a uma cirurgia na região vários meses antes, e uma ferida permanecia por onde o ar podia escapar.
O paciente passou três dias no hospital, onde os médicos liberaram constantemente o ar preso no corpo do idoso. Eles trataram seus pulmões colapsados (pneumotórax) e ele também recebeu antibióticos e procedimentos de urologia para sua ferida escrotal.